
Вокаліст українського гурту ADAM Михайло Клименко перебуває у комі через туберкульозний менінгіт. Артист бореться за життя вже два місяці.
Як повідомила на офіційній сторінці гурту в Instagram дружина музиканта Олександра Норова, музикант опинився у комі й нині перебуває в реанімації.
"Друзі, Міша Клименко уже два місяці веде боротьбу з тяжкою хворобою — туберкульозним менінгітом. Після тривалого лікування та перебування в реанімації Міша в комі. Будь ласка, моліться за нього", — зазначила вона.
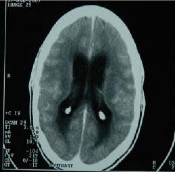
Це клінічна форма туберкульозу, при якій відбувається специфічне запальне ураження центральної нервової системи. При цьому виникає інфікування мозкових оболонок туберкульозною мікобактерією з розвитком серозного менінгіту з переважним ураженням основи головного мозку.
На відміну від багатьох інших випадків бактеріального менінгіту, туберкульозний часто важко діагностувати, адже початкові клінічні прояви, як правило, є підгострими й часто неспецифічними, а менінгеальні симптоми, як правило, не виявляються на ранній стадії захворювання. Через пізню діагностику ефективність його лікування вкрай низька, часто туберкульозний менінгіт закінчується смертю.
Цей недуг навчилися лікувати у 1940 роках після відкриття перших протитуберкульозних препаратів: стрептоміцину та парааміносаліцилової кислоти. Знищення туберкульозних бактерій, зумовлене цими двома препаратами, знизило летальність зі 100 % до приблизно 70 %. Проте хоча знищення бактерій є необхідним для виживання при туберкульозному менінгіті, кореляція між збільшенням знищення бактерій і кращими клінічними результатами була непомітною.
Хвороба починається зі слабкості, втомлюваності, зниження апетиту, сонливості, апатії. Температура тіла спочатку субфебрильна, а саме від 37,1°C до 38,0°C. Вже з перших днів проявляється головний біль, який посилюється при яскравому світлі та шумі, іноді у хворих раптово виникає блювота. Основні симптоми починаючи з п'ятого дня хвороби — з'являється гарячка, посилюється головний біль, а при подальшому розвитку хвороби виникає сплутаність свідомості. У найгіршому варіанті розвитку недугу, за відсутності специфічного лікування — кома й смерть. Прояви менінгеального синдрому відсутні у п'ятої частини хворих на туберкульозний менінгіт на початку хвороби.
Нагадаємо, напередодні стало відомо, що народний артист України Степан Гіга перебуває у лікарні у важкому стані. Співак переніс термінову операцію.